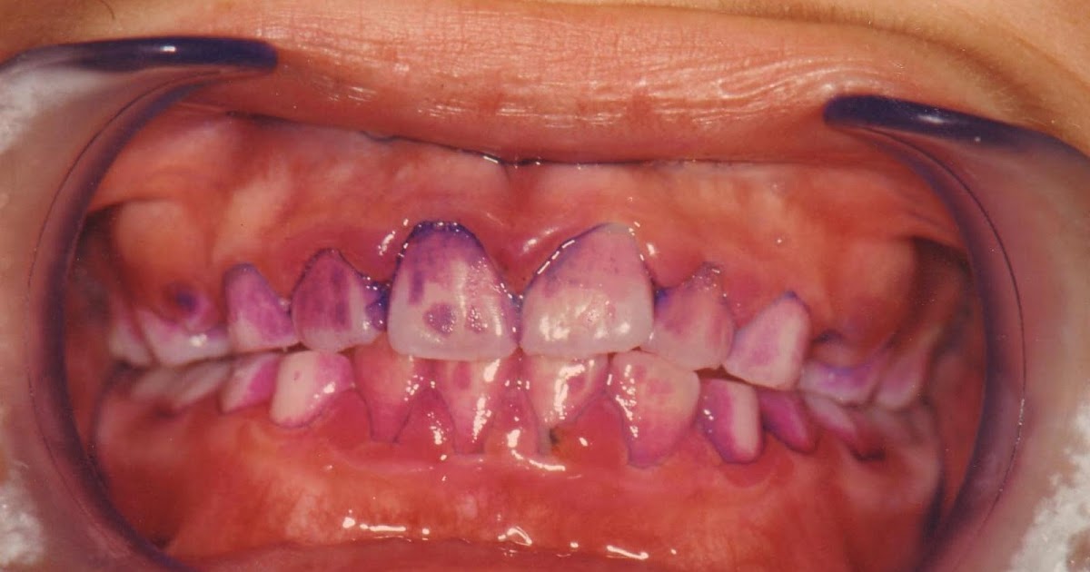
Código de promoción: Solución revelante de placa dental. Sistema de muestra y explicación para el paciente que indica la placa nueva y la placa vieja. La placa vieja es de color azul y la placa nueva de color lila. Fácil de remover con el cepillado normal. Libre de E127 y hecho en colores aprobados Ideal para la motivación de un buen.. Tri Plaque ID Gel no solo diferencia entre placa antigua y nueva en unos sencillos pasos: este exclusivo gel también indica exactamente dónde son más activas las bacterias revelando el pH ácido. Esta información adicional le será de gran ayuda en la práctica diaria a fin de estimular a sus pacientes para que mejoren su higiene bucal.

Dr. Sos Algodones de colores Bolsa 100 uds

Dulcefiestaalgodonesdeazucar

Algodon Higietex Colores Grupo Masala

Dónde comprar Confeti tubo lanza cañón revelador de género 45cm

¿Qué es el revelador de placa? Dental Moscardó

Revelador de Placa Bacteriana Dual Tone Caristop Ortotek

Qué son y para qué sirven los reveladores de placa Clinica Dental

GC Tri Plaque ID Gel 40g (Gel Revelador placa) ExpressDent

Pintando con algodones de colores

Reveladores de placa CatálogoParafarmacia

Revelador de placa formato pastillas Mira2Ton 6 250 uds Pharmaluz

Transparencia Redonda con Algodones de Color Sitegustatelovendoati

ALGODON DE COLORES * PAQUETE

Placa de metacrilato colada de colores Aliplas

Importancia del uso de revelador de placa ¿Qué es y cómo se usa?
Pastilla Reveladora Placa PlaqSearch Tepe Biotech Chile

Uso de Pastillas Reveladoras de Placa Bacteriana YouTube

50 Mini Algodones Minialgodones De Azúcar Dulid 200.00 en Mercado Libre
Revelado de placa dental en casa Odontologia Salud y Hoy!

¿Son útiles los reveladores de la placa dental? Clínica dental Tiiz
Los reveladores de placa bacteriana son agentes, utilizados en la odontología, que revelan placa dental, es decir que tiñen la placa bacteriana. De modo que esta se hace visible y el paciente puede evaluar las áreas donde existe la placa para realizar una buena eliminación de esta. Según su formato, los reveladores pueden aplicarse en.. comprimidos. Plac·Control ® comprimidos es un revelador de placa dental formulado específicamente para detectar las zonas donde se acumula el biofilm bucal (placa bacteriana) y facilitar su eliminación. Plac·Control ® es una solución en comprimidos que tiñe de color rojo el biofilm bucal que se acumula entre los dientes.