Distinguiamo, per esempio, il carcinoma duttale in situ, il carcinoma lobulare in situ, il carcinoma infiltrante non speciale (duttale) e il carcinoma lobulare infiltrante.. il 15-20% è positivo all'HER2, mentre il 15% è triplo-negativo e dunque non presenta né recettori ormonali né recettori per HER2. Distinguiamo 4 categorie di.. A seguito della diagnosi di carcinoma duttale infiltrante si rivela determinante stadiare il tumore, ovvero comprenderne lo stato di avanzamento e l'eventuale diffusione nel resto dell'organismo.. Le cellule HER2-positive tendono a proliferare e diffondersi più velocemente rispetto ai tumori al seno HER2-negativi, ma è molto più.

Carcinoma de mama

Carcinoma ductal in situ

Carcinoma duttale infiltrante cosa è e come comportarsi INRAN

Invasive Ductal Carcinoma, LM Stock Image C012/1392 Science Photo Library

Invasive ductal carcinoma in a 52year old female. (A) The right... Download Scientific Diagram

Tumore al seno Auxologico

Senologia Napoli Carcinoma Duttale Infiltrante

a,b Paziente di 55 anni con carcinoma duttale infiltrante (diametro... Download Scientific Diagram

Ilustración de anatomía del cáncer de mama, Carcinoma ductal de mama, ilustración médica

Ecografía axilar prequirúrgica en pacientes con cáncer de mama. Estudio prospectivo para valorar

Ascitis por carcinoma lobulillar infiltrante bilateral de mama

PPT DIAGNOSTICA PER IMMAGINI DELLA MAMMELLA PowerPoint Presentation, free download ID5748674

Ductal carcinoma in situ (DCIS) and Paget Disease Histopathology YouTube

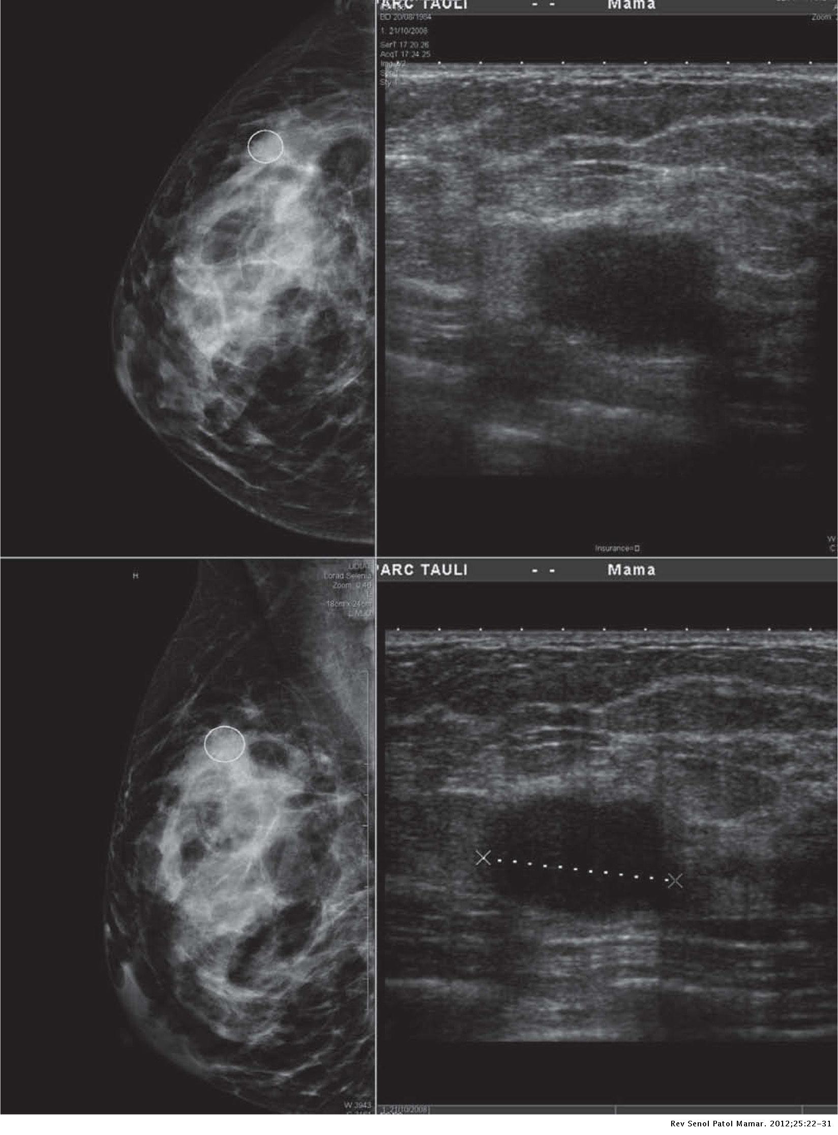
Características de imagen del carcinoma triple negativo Revista de Senología y Patología

Ecografía axilar prequirúrgica en pacientes con cáncer de mama. Estudio prospectivo para valorar

Carcinoma Duttale Infiltrante Prostata. Linee Guida Per Il Trattamento Del Carcinoma Prostatico

Ascitis por carcinoma lobulillar infiltrante bilateral de mama

Donna di 38 anni con diagnosi di carcinoma duttale infiltrante della... Download Scientific

Carcinoma plurifocale della mammella Metodo di Bella Sito Ufficiale

Frustoli Di Carcinoma Infiltrante B5B gwkbali
Hercapt Test - diagnosi Carcinoma duttale infiltrante G2. Score HER-2/NEU: 0 negativo +1 noegativo +2 positivo +3 positivo. (vetrino controllo positivo: positivo) - immunoreattività comleta di.. Man mano che lo sviluppo del carcinoma duttale infiltrante prosegue, il nodulo di cui sopra aumenta le sue dimensioni e inizia a diffondersi ai tessuti circostanti, ai linfonodi e, potenzialmente, ad altri organi. In questa fase possono manifestarsi sintomi, quali: Dolore sia del seno, sia dei linfonodi ascellari;