Het belangrijkste beeldvormende onderzoek is de MRI van de wervelkolom. Met een MRI-scan wordt de hernia zichtbaar, evenals de beknelling van de zenuwwortel. Ook voor een MRI en röntgenonderzoek kunt u bij Bergman Clinics terecht.. De serie is gebaseerd op de bestseller Mr. & Mrs. American pie van Juliet McDaniel. Oscarwinnaar Allison Janney (voor I, Tonta ) geniet zichtbaar van haar rol als de net iets te ambitieuze Evelyn.

Herniated lumbar disc mri hires stock photography and images Alamy

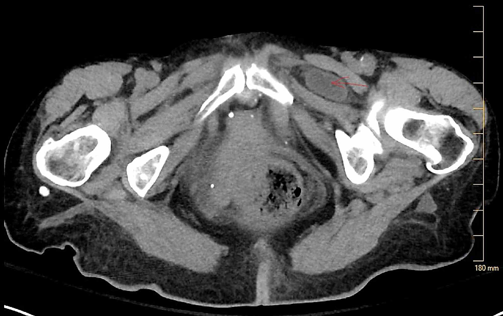
Cureus Asynchronous Bilateral Obturator Hernias A Suggested Approach to Reduce Morbidity of

Hernia Mri Scan

Inguinal Hernias Seen On Mri Image Sagital T2 Image HighRes Stock Photo Getty Images

Inguinal hernia in a patient with prostate cancer to be treated with photon radiotherapy Oike

MRI Lumbosacral Column, Hernia Intraforaminal Right L5S1 Stock Photo Image of herniation

Lumbar Disc Hernia Recurrence After Discectomy Resonance Imaging Mri HighRes Stock
How to Read the MRI for a Herniated Disc and 5 Treatment Options

Herniated Disc Mri Lumbar Spine / Slipped disc in the lumbar spine, MRI scan Stock Image

Far Lateral Lumbar Disc Herniation MRI Explained Dr. Jeffrey P. Johnson HD YouTube

Lumbar Disc Herniation, MRI Stock Image C039/4164 Science Photo Library

Congenital Diaphragmatic Hernia The Operative Review Of Surgery

Radiografia Hernia Lumbar

Ultrasound Imaging of Hernia Parts 1 + 2 of 4 A YouTube Video Tom Wade MD Ultrasound

Spinal hernia Conditions Dr. Schröder

Spigelian hernia Radiology Reference Article Radiology, Abdominal hernia

Computed tomography findings associated with the risk for emergency ventral hernia repair The

Herniated lumbar disc mri hires stock photography and images Alamy

Severe Pathology of Lumbar Spine Herniation Mri Stock Image Image of bulging, disk 130242825

Hernia (HNP) FysioInfo
Er zijn twee soorten onderzoek die de hernia zelf zichtbaar kunnen maken: een MRI-scan en een CT-scan. Meestal maken we eerst een MRI-scan. Als een MRI-scan niet mogelijk is, maken we een CT-scan. MRI- en MRA-onderzoek.. In de meeste gevallen zal het mogelijk zijn om met een MRI de diagnose hernia te stellen, want met de MRI wordt de hernia zichtbaar, alsook de beknelling van de zenuwwortel. Links: Op de MRI-foto is te zien hoe de uitpuiling van de tussenwervelschijf naar achteren toe de zenuw beknelt.