差し歯が取れかかっていると隙間に汚れが溜まり、嫌な臭いがする場合があります。 また、差し歯の周りに歯垢や歯石が溜まっていると、 歯周病 を発症して臭いを発することもあります。. 取れた差し歯や詰め物が再利用できなくなってしまったり、歯や歯の根っこに悪影響を及ぼすこともあります。 少しでも良い状態を保って(取れたそのままで)歯医者さんに診てもらうことが大切です。 さらに、差し歯や詰め物が取れた状態のままですと、歯や歯の根っこにヒビが入って歯を抜かないといけなくなったり、むし歯になりやすかったりしますので、早めの受診をおすすめします。 差し歯や詰め物が取れた時の治療法. 歯と差し歯、詰め物に問題がなければ再装着します. 差し歯や詰め物が取れてしまっても、取れた歯にも差し歯や詰め物にも問題がなかった場合は、再装着して治療終了となります。 これが一番良いパターンです。

差し歯がとれて困ってる方へ~応急処置教えます~

差し歯による治療 — むし歯治療と歯周病・根管治療なら プライベート歯科 横濱

差し歯の脱離 ~防ぐために行うこと~ 石神井公園 歯医者 たけのうち歯科クリニック

差し歯が取れたけど再利用できる?正しい保管方法は?自分で戻すのは危険? Medicalook(メディカルック)

一時的な歯の修復キットの差し歯の固体接着剤の義歯の欠落の壊れた歯の成形可能な歯の充填の差し歯 tk.gov.ba

前歯 金属の差し歯 総入れ替え セラミック矯正 1/2 YouTube

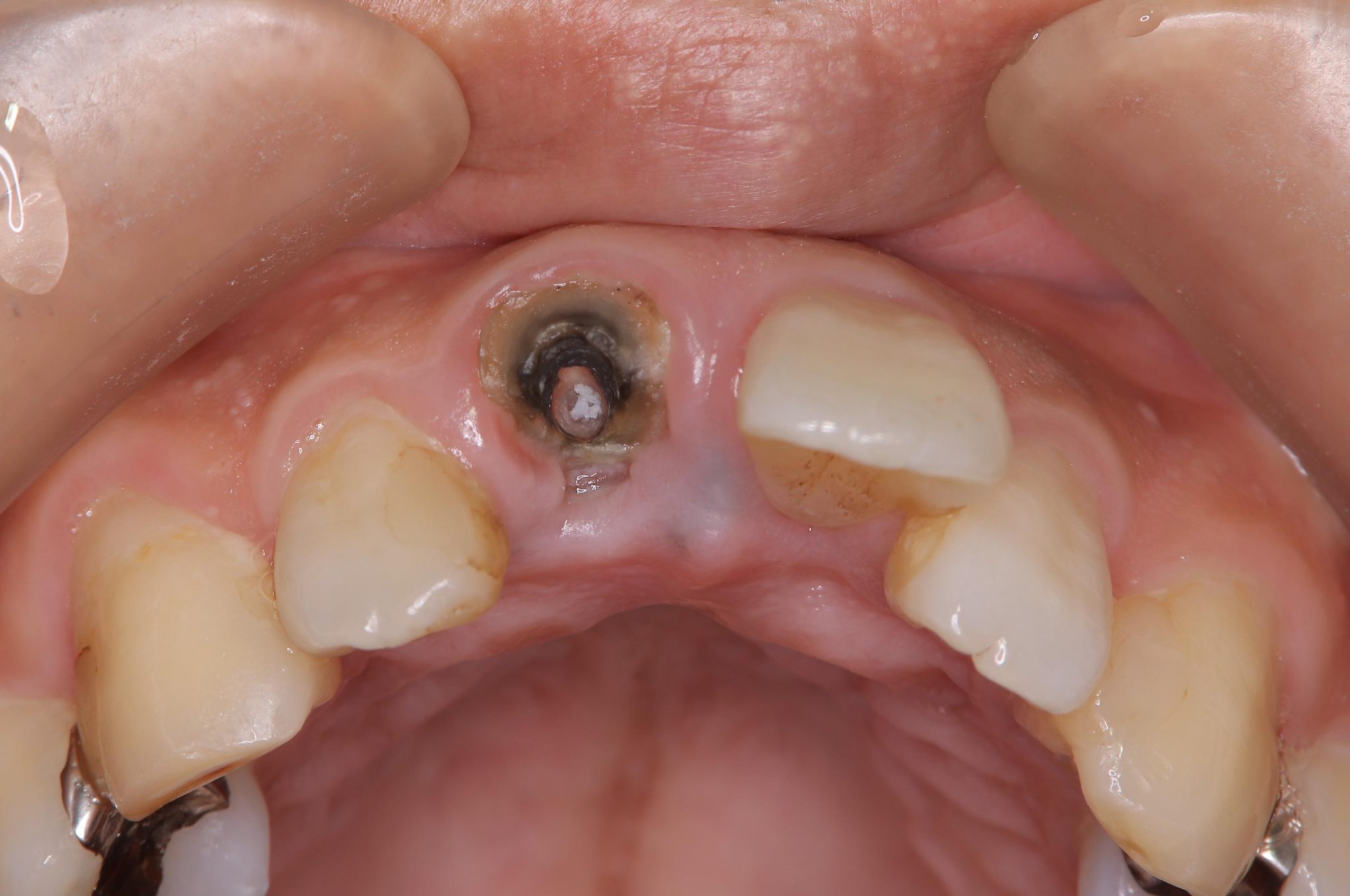
インプラント症例 差し歯が取れた。 症例・治療例 くげぬま海岸歯科クリニック 審美・インプラント・矯正歯科 藤沢/鵠沼海岸 歯医者

差し歯が取れてしまった! 川崎市宮前区鷺沼の歯医者 加賀美歯科のスタッフブログ

脱離を繰り返す差し歯は、やり替えが賢明 東京・神田、日本橋で審美歯科、矯正歯科、精密根管治療、インプラント治療なら「神田デンタルケアクリニック」

差し歯が取れたらどーなる!?応急処置と治療を3ステップで解説。 Dentalhacker

これで安心!差し歯が取れたら今すぐやるべき正しい2つの緊急対処法

差し歯が取れた場合の再治療の費用はどれくらいか? YouTube

差し歯による治療 — むし歯治療と歯周病・根管治療なら プライベート歯科 横濱

差し歯が取れてしまった! 川崎市宮前区鷺沼の歯医者 加賀美歯科のスタッフブログ

【動画あり】20代女性 コンプレックスな前歯の差し歯をジルコニアクラウンで再治療した症例 赤坂の歯医者さん|赤坂クレール歯科クリニック

差し歯が取れてしまったらすぐに歯科へ 難波の歯医者 なんばアップル歯科

差し歯をキレイにしたい|再治療の審美歯科ならホワイトホワイトへ

差し歯が取れたらどーなる!?応急処置と治療を詳しく解説。 Dentalhacker

前歯の差し歯が取れちゃった!一体どうしたら良いの?(その2) 兵庫県川西市の歯医者・歯科医院「つばめデンタルクリニック川西」

【動画あり】20代女性 コンプレックスな前歯の差し歯をジルコニアクラウンで再治療した症例 赤坂の歯医者さん|赤坂クレール歯科クリニック
歯が取れた対処法と応急処置. 歯が取れてしまったら、とにかくこの状態を 何とかしないといけません。 早速、対処法を見ていきましょう! 見た目のカッコ悪さはマスクでカバー. 差し歯が取れた時ってすごく焦りますよね。 見た目がカッコ悪いからとコンビニでも売っている、市販の接着剤で付けたくなるところですが、それは止めてください! 市販の接着剤は当然ながら、歯に使うためのものではありません。 そもそも"体に害あり"です。 それに下手に土台の歯にくっ付いてしまうと、二度と被せ物が使えない状態になります。 歯医者で外す時も土台の歯がダメージを受ける可能性が高いんです。 なので、差し歯が取れたら、大人しくマスクを着けてやり過ごして下さい。 取れた差し歯は必ず保管しておく.. 差し歯が取れたときの応急処置の手順. まず、自分で差し歯を戻すことのリスクについてを知っておいてください。 差し歯を自分ではめたときのリスク. 仮に戻すだけのため、すぐに外れてしまい飲み込んでしまう. 就寝時に何かの弾みで気管に入ってしまう. 戻した差し歯の部分で強く噛むと、歯根が破折する. これらのことを頭に入れ、自分で差し歯を戻すのはあくまでも応急処置であり、歯科医院にて治してもらうまでは差し歯の部分で強く物を噛むことをしないなど、すぐに外れてしまうリスクを回避する必要があるので注意しましょう。 取れた差し歯を確認する. 取れたばかりの差し歯には、臭いや血、または歯科医院で装着した際の接着剤がついていることがあります。